Hepatic encephalopathy
The phases of hepatic encephalopathy
The clinical picture of hepatic encephalopathy (HE) is very variable and can be associated with impairment of intellectual and psychomotor functions and may lead to changes in personality and level of consciousness. The prerequisites for a diagnosis of HE are demonstrable liver disease, demonstrable impairment of CNS function, and the exclusion of other neuropsychiatric disorders. Early diagnosis of HE is of great importance for future management and treatment. It is critical to understand that, as HE is caused by a disturbance in ammonia metabolism, it is potentially reversible with treatment, such as L-ornithine L-aspartate (LOLA; Hepa-Merz®), that targets neurotoxic ammonia.
The progression and symptoms of HE observed at each phase1

The clinical spectrum of HE from minimal HE to severe illness resulting in coma2

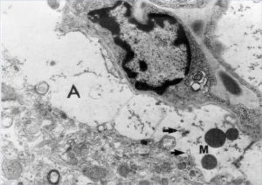
Neuropathological changes in HE
Neurological complications of HE include brain oedema in acute liver failure, this is characterised by astrocytic swelling, oedema and increased intracranial pressure.3,4

The neuropathology of chronic liver failure is characterised by Alzheimer Type II astrocytosis; however, brain oedema is less frequent and typically there is no increase in intracranial pressure.5

Astrocytes fulfil various important functions within the CNS. They direct neuronal communication, regulate neurotransmitter processing, regulate the ionic milieu in the brain, supply substrate for neurons, are involved in substrate transport from the blood into the brain (main component of BBB) and are the main site for ammonia detoxification in the brain.6
1. Ferenci P et al. Hepatic encephalopathy–definition, nomenclature, diagnosis, and quantification: final report of the working party at the 11th World Congresses of Gastroenterology, Vienna, 1998. Hepatology. 2002;35(3):716-21.
2. Zhan T, Stremmel W. The diagnosis and treatment of minimal hepatic encephalopathy. Dtsch Arztebl Int 2012;109(10):180-7.
3. Kato M et al. Electron microscopic study of brain capillaries in cerebral edema from fulminant hepatic failure. Hepatology. 1992;15(6):1060-6.
4. Jalan R et al. The molecular pathogenesis of hepatic encephalopathy. Int J Biochem Cell Biol. 2003;35(8):1175-81.
5. Gutierrez JA, Norenberg MD. Ultrastructural study of methionine sulfoximine-induced Alzheimer type II astrocytosis. Am J Pathol. 1977;86(2):285-300.
6. Häussinger D et al. Hepatic encephalopathy in chronic liver disease: a clinical manifestation of astrocyte swelling and low-grade cerebral edema? J Hepatol. 2000;32(6):1035-8.